Gum Disease Treatment – Irving
Preventive Periodontal Care
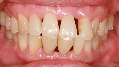
Worried about gum disease? We’re not trying to scare you, but there’s a good reason to feel that way – gum disease (also known as periodontal disease) is one of the most common health problems on the planet, as well as the leading cause of tooth loss in adults here in the United States. These soft tissues make up the essential foundation of your smile, and they need to be kept healthy. At 21st Century Dental of Irving, our team offers important diagnostic care and effective therapy options for combating gum disease at its earliest stages. Contact us today to get started with an appointment here in Irving, TX!
Why Choose 21st Century Dental of Irving for Gum Disease Treatment?
- State-of-the-Art Soft Tissue Laser
- Dedicated Preventive Care to Prevent Tooth Loss
- Gum Therapy & Surgery Available
What is Periodontal Disease?
Periodontal (gum) disease is a gradual oral infection of the soft tissue. It occurs when plaque, a sticky substance filled with harmful bacteria, is allowed to build up on the teeth over time and harden in place due to lacking oral hygiene. Left unchecked, this disease will negatively affect the gums and teeth alike, causing swelling, inflammation, bleeding, and other painful symptoms.
Why Treating Gum Disease is So Important
Gum disease may seem harmless enough in its early stages – patients could see a little redness in their gums or some blood in their saliva after brushing and flossing. What’s the big deal? Unfortunately, instances of this condition that are left unchecked can grow to threaten not only your teeth, but your overall health as well. While research is still ongoing, countless studies have demonstrated notable links between periodontal disease and diabetes, dementia, respiratory illnesses, heart disease, and even pregnancy complications. With this in mind, it’s easy to see why keeping your smile infection-free is such a crucial priority.
Periodontal Therapy Options
At 21st Century Dental of Irving, our dentists are always working hard to stop gum disease before it gets the chance to start. That’s why comprehensive periodontal screenings are a part of every regular checkup – by identifying harmful bacteria early on, the threat to your oral health can be eliminated simply and painlessly. If the infection is already underway, though, we also have several effective periodontal therapies that can bring back much-needed health to your smile.
Scaling & Root Planing
Scaling and root planing is the most common type of gum disease treatment. It can essentially be thought of as a cleaning that’s been taken to the next level. Our team will target bacterial accumulations around and underneath your gum tissue. We will also carefully smooth down any rough spots on your tooth roots, which are prime real estate for plaque. By taking these comprehensive steps, our goal is to help your gums regain their health and vitality.
Do I Need Scaling & Root Planing?

Scaling and root planing is sometimes called a “deep cleaning,” and that’s essentially what it is. If we notice early signs of gum disease, like bleeding, swelling, and inflammation, we will address it as quickly as possible to prevent it from progressing further and causing permanent damage to your smile. This treatment aims to remove bacteria that have accumulated around or beneath your gumline. During the root planing part of this treatment, we will smooth down the roots of your teeth so that your gums heal and reattach to your teeth.
The Process of Scaling & Root Planing

Scaling and root planing usually take place over two separate appointments. The first one consists of the “scaling” portion. At this time, we will scrape away the plaque and tartar that has formed along and beneath the gumline using dental instruments. We will especially target the area beneath the gumline where bacterial deposits have formed.
Once the scaling is complete, we will begin the root planing. We do this by smoothing sections of the teeth that are normally hidden beneath the gum tissue. This will allow the gums to adhere to your teeth more easily, making it more difficult for bacteria to build up again. This reduces your risk of developing gum disease later on.
Aftercare Tips for Scaling & Root Planing

Some soreness is normal after scaling and root planing, and you might have some inflammation in the affected areas. This is temporary and should resolve itself after a few weeks. Here are a few tips to help you recover efficiently:
- Brush twice daily with a soft-bristled toothbrush and fluoridated toothpaste
- Rinse your mouth with salt water after eating
- Floss thoroughly every day
- Stick to soft foods for the first 48 hours after treatment
- Avoid foods that are spicy, acidic, or hot
- Refrain from intense physical exercise immediately after your treatment
Laser Periodontal Treatment

Although gum disease may seem like it’s harmless at first, if left untreated it can cause a variety of dangerous oral health problems that can eventually lead to receding gums, tooth loss, and even jawbone deterioration. Laser periodontal treatment helps minimize the presence of dangerous oral bacteria and safely removes gum tissue that has become severely damaged due to infection.
How Laser Periodontal Treatment Works

Laser periodontal treatment is typically done in conjunction with another treatment, scaling and root planing. It can also be performed at different stages of gum disease to minimize inflammation and prevent the bacterial infection from spreading.
Instead of needing a scalpel and sutures to remove severely damaged gum tissue, your dentist can now use a soft-tissue laser to help eliminate bacteria and severely damaged gum tissue. Not only is this drastically less invasive, but it also helps aid the body’s ability to fight infection while promoting safe, comfortable healing.
Your dentist will use the soft tissue laser to remove inflamed tissue from around the teeth, leaving behind only healthy tissue. Over time, the healthy tissue will reattach to the teeth, protecting their vulnerable root structure. This is extremely important because when oral bacteria have access to the roots of your teeth, the infection can easily spread and potentially result in permanent tooth loss.
Once the damaged tissue is removed, your dentist can start the scaling and root planing process, where they remove plaque and tartar and plane the roots of your teeth to remove hardened bacterial deposits. This will also make it easier for the healthy gum tissue to reattach to your teeth.
The Benefits of Laser Periodontal Treatment

There are many incredible benefits to using the soft-tissue laser in periodontal treatment. For starters, using a laser instead of a scalpel makes this treatment much less invasive, and thereby much more comfortable both during and after the procedure.
The dental laser uses a beam of concentrated light which in addition being able to excise damaged tissue, can also kill harmful oral bacteria on contact. Furthermore, because it cauterizes as it works, there is no need for sutures, and research has shown that lasers lead to less post-operative discomfort as well as less inflammation and bleeding, and even a lower risk of post-op infections.
Furthermore, the precision of the laser allows your dentist to leave more healthy tissue intact, reducing your risk of further infection and making treatment much more effective than traditional methods!
Aftercare Tips for Laser Periodontal Treatment

Following laser periodontal therapy, recovery should be relatively quick. In fact, most patients report 100% recovery within about one week, whereas many take up to two weeks to recover from traditional, non-laser surgery.
You may experience some swelling or sensitivity following the procedure. This is completely normal. You can take over-the-counter pain reliever like ibuprofen to treat any discomfort.
Be sure to maintain your oral hygiene routine during the healing process, including brushing twice a day and flossing daily. You may also want to avoid eating foods that are hot, cold, or spicy until your mouth has healed.
Be sure to attend the follow-up appointment with your dentist, and if you experience anything abnormal or if your pain worsens instead of improving, reach out to your dentist as soon as possible.
Antibiotic Therapy & Oral DNA Testing
Antibiotic therapy is often recommended as a supplement to more comprehensive periodontal therapies (such as scaling and root planing or soft tissue laser treatment), helping ensure successful results. It comes in several forms, including oral medication that’s taken over a period of time and topical gel that is applied directly to the soft tissue by our team. Its presence will help to reduce dangerous bacteria and even reduce the size of the periodontal pockets. A differentiating factor that sets us apart: our team utilizes OralDNA testing to determine what antibiotics will be most effective in treating your specific case of periodontal disease.
Gingivectomy
If you are experiencing severe gum disease (also known as periodontitis), a gingivectomy may be necessary. The goal of this surgical procedure is to remove and/or reshape loose and diseased gum tissue, getting rid of deep gum pockets that have formed between the teeth and the soft tissue. After treatment, patients will find it easier to practice good oral health and keep their smile safe from further flare-ups of infection.
Periodontal Disease FAQs
How Severe is My Gum Disease?
If you’ve noticed that your gums are somewhat red and tender, or if you’ve noticed blood on your toothbrush and dental floss, you could have gingivitis. This is the earliest form of gum disease, and if it’s caught quickly enough, it can easily be treated and reversed. Eventually, though, gum disease can turn into the much more severe periodontitis. Large pockets will form in your gums, and some pus might start to seep out. Sore might form in your mouth, and you might notice a recurring foul taste or smell. In the worst-case scenario, your teeth could come loose and might even fall out altogether. The type of periodontal treatment you receive largely depends on whether you have mild gingivitis or more advanced periodontitis.
What Raises the Risk of Gum Disease?
It is well known by now that smoking or chewing tobacco has been linked with gum disease. However, there are other risk factors you should be aware of. For instance, it has been found that over 70% of Americans aged 65 or older have periodontitis. Furthermore, conditions that hurt your body’s ability to fight off an infection can make gum disease more likely. (In particular, stress has a significant negative effect on the immune system that increases your personal risk.) There are also people who are just more genetically susceptible to gum disease overall, even if they maintain aggressive oral care habits.
Can Gum Disease Be Prevented?
It goes without saying that even with so many periodontal therapy options, it will be better for your mouth if you can prevent gum disease from occurring at all. Luckily, there are plenty of steps you can take to protect yourself:
- If you smoke, stop as soon as possible.
- Let us know about any medications you’re taking; some of them could lead to gum inflammation.
- Brush your teeth at least twice every day, and don’t neglect the area near the gum line.
- If you don’t already floss, start as soon as possible. You can use an interdental brush or a water pick if you have trouble with traditional string floss.
Will Gum Disease Ever Go Away?
A gum infection won’t get better by itself; professional intervention is usually required to prevent long-term damage. If gum disease is caught and treated early enough, it’s relatively easy to reverse. Advanced periodontitis can be treated, but it should be noted that stopping the infection won’t automatically repair the damage already done to the jawbone.
